Is Flossing Really Necessary?
According to a survey by Delta Dental, only about 41% of Americans floss daily, although that number may be much lower, since another survey by the American Academy of Periodontology showed that 27% of people lie to their dentist about flossing….
Well, there is no need to lie, since I never judge my patients, but I do want to make sure you get the information you need to keep your teeth and gums healthy! So how important is flossing, really? I can’t count the number of times I’ve told a patient they have cavities, and they’ve asked me, “It’s because I don’t floss enough, huh?”.
Well, you may be surprised to know that I tend to answer, “No, that’s probably not it”. Don’t get me wrong, flossing is an important method of keeping your gums healthy and free of plaque, which in turn may decrease your chances of getting cavities, especially between your teeth. However, the appearance of cavities in between the teeth is usually the result of a sugary habit! That’s right, your daily Dr. Pepper or coffee with hazelnut creamer is far more likely to be the culprit behind your tooth decay than your lackadaisical flossing habits. I will go into more detail about the relationship between diet and tooth decay in another blog post, but for now, we’ll look at why you should still floss!

You may be surprised to learn that science has yet to actually prove that flossing directly reduces the rate at which you develop cavities. I do not state this to downplay the importance of flossing, but to highlight the fact that proper diet and brushing technique is the best way to prevent cavities! Although brushing alone will never completely remove the plaque between your teeth, proper technique and thorough attention with a good toothbrush can significantly reduce the amount of this plaque.
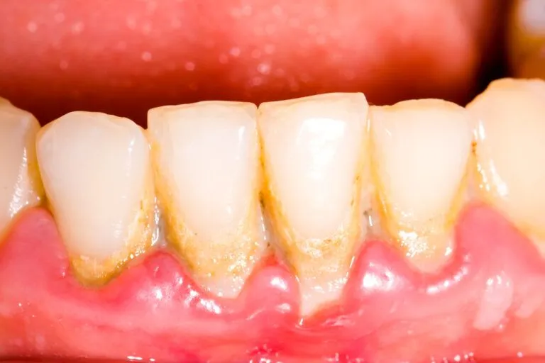
So why floss? Well, just as healthy trees cannot survive without sufficient soil, your teeth cannot survive without the surrounding tissue called the periodontium, which consists of the bone, gums, and ligaments. Inflammation and disease of this type of tissue is called periodontitis, which accounts for the number 1 cause of tooth loss! While factors such as smoking, diabetes, and diet can contribute to periodontal disease, regular plaque removal is still the most important way to prevent this inflammatory process. Have you ever noticed that your gums bleed when you brush or floss? This is due to inflammation caused by plaque accumulation and is referred to as gingivitis, a precursor to periodontitis. The good news is, healthy oral hygiene habits such as flossing can easily reverse gingivitis and prevent periodontitis.

So how should you floss? Here is a link to a handy ADA guide to flossing:
You may find that your teeth are too tight in certain areas to allow you to floss comfortably, but don’t give up! There are several products to help you clean between your teeth. AirFloss by Sonicare is one such product that several of my patients have benefitted from. I personally like to use Listerine Ultraclean flossing sticks with disposable heads to reach difficult areas. Also, the right kind of floss can make a huge difference. My floss of choice is GUM Butterweave, which is strong enough to get into tight areas without tearing or shredding, but feel free to try several brands to find what works for you!

Thanks for reading this week’s post, and as always, if you have any questions about flossing or anything else, feel free to email me!

0 Comments