Do You Need To Have Your Wisdom Teeth Removed?
Most impacted wisdom teeth should be extracted due to a high probability of causing future disease.
One of the most common questions I receive is, “Do I really need to have my wisdom teeth removed?”.
The answer depends on many factors, so I’ll spend this post elaborating on the subject so that you can make an informed decision.
What are Wisdom Teeth?
Wisdom teeth are also called third molars because they are the third and last set of molar teeth to erupt at the very back of your mouth, usually around age 17. Oftentimes, the wisdom teeth do not have quite enough room in the jaw to grow in straight, becoming “stuck”, partially or fully covered by the bone or gum tissue, a condition called impaction. Impacted third molars can lead to several oral diseases and can damage other teeth in your mouth.
Based on the most recent evidence, the American Association of Oral and Maxillofacial Surgeons (AAOMS) recommends that impacted teeth causing disease or at high risk of causing disease should be extracted, and those with a lower risk should be monitored closely and regularly imaged.
Why Not Wait Until It Hurts?
As with cavities and other dental diseases , many people mistakenly believe that the absence of pain means that no treatment is necessary. So some patients wonder why dentists often recommend extracting wisdom teeth in young patients with no symptoms. While each unique patient requires a thorough exam and customized recommendation, it is safe to say that most impacted wisdom teeth should be extracted in adolescence or early adulthood, due to the high probability to cause future disease.

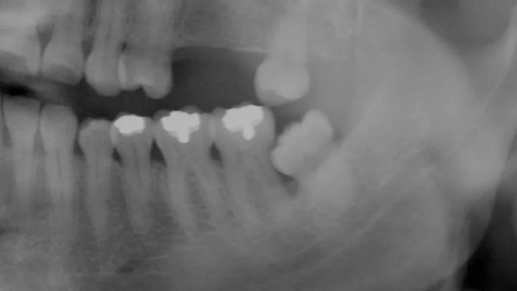
In this x-ray, we can see a partially impacted wisdom tooth that has led to periodontal disease, with heavy plaque accumulation causing significant bone loss around the tooth next to it. Bone loss, in turn, makes the otherwise healthy tooth more likely to require extraction in the future.
You can read more about periodontal disease and bone loss here.

Complications
Many patients are concerned about potential risks and complications of wisdom teeth removal. As with any surgery, there is a small possibility of complications such as poor wound healing, infections, and nerve damage. However, proper diagnosis and planning can reduce and almost eliminate such risks!
With modern imaging techniques, proximity to vital structures can be predicted much more accurately, and referral to an appropriate specialist can ensure that special precautions are taken for more complex cases. The good news is, most wisdom teeth extractions are fairly straightforward, and many can even be removed without the need for sedation or even making an incision.
Another important thing to keep in mind is, healing takes place much easier and quicker in younger patients. Better overall health and bone quality means that there is far less time out of work/school and less risk for complications in a teenage patient than in a middle aged or elderly patient.
What to Expect
Many patients have concerns about being out of work or experiencing post-operative pain and limitations. As with preventing complications, proper planning can minimize discomfort after your procedure. Please let us know if you have ever had nausea or other adverse reactions to sedation, pain medicine, or antibiotics. While narcotic medication used to be commonly prescribed after wisdom teeth extractions, modern studies have proven that specific combinations of non-opioid pain relievers are just as effective at controlling post-operative pain. Using milder medications now allows us to keep you comfortable with minimal side effects!
It is still normal and expected to experience swelling and soreness for several days, so we recommend planning your procedure at a time when you are able to rest for a few days. Most patients are able to return to work and eat normally within 3 days.
Conclusion
As always, my philosophy is to give you, the patient, all the information you need to make the best decisions for your own oral health! So there is no one-size-fits-all answer to whether everyone should have their wisdom teeth removed. But in short, patients in their late teens and early twenties should be evaluated for impacted wisdom teeth, and consider removing them before the age of 25 if significant risk of disease is determined by their dentist.

0 Comments