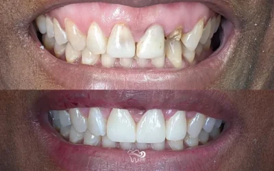
Peg Lateral: Incisors That Look Too Small This condition can be treated conservatively for a...
BLOG
Oral Health and Dental FAQs
What Is A Ridge Augmentation?
What Is a Ridge Augmentation? If you have been told that you do not have enough bone for an...
Is A Bone Graft Necessary After Tooth Extraction?
Is A Bone Graft Necessary After Tooth Extraction? If you have recently been told that you need a...
How Can PRF Help With Dental Implants?
How Can PRF Help With Dental Implants? You may have heard of PRP (platelet-rich plasma) therapy...
What Are The Worst Drinks For Your Teeth?
What Are The Worst Drinks For Your Teeth? Most people know that drinking soda can cause cavities,...
What Is Plaque and Why Is It Bad?
What Is Plaque and Why Is It Bad? You've heard your dentist and TV commercials talk about plaque....
Can Swimming Pools Cause Tooth Staining?
Can Swimming Pools Cause Tooth Staining? Chlorinated pools can change the way minerals stick to...
Can You Guess Which Tooth Is A Dental Implant?
Can You Guess Which Tooth Is A Dental Implant? We'll give you a hint: It's on the bottom row of...
Types of Teeth Whitening
Types of Teeth Whitening After taking a look at the two types of staining, we'll examine different...
Your Neighbors’ Favorite Family Dentist in Houston
Let our family care for yours compassionate care. Individualized treatment. Fair, transparent pricing.
If you’re looking for convenient weekend appointments, our Saturday dentist Houston 77042 services are available to accommodate your schedule. Contact Wave Dental today to book your consultation and start your journey toward a healthier smile!








